
The following information aims towards a general understanding of the term Mohs surgery and describes its basic elements.
Mohs Surgery is a special procedure of micrographically controlled surgery, also known as Mohs micrographic surgery, which was initially invented by Dr. Frederic Edward Mohs in the USA. Through an unique approach in surgical techniques and histological frozen sectioning, 100% of the surgery margins of the removed tissue are examined, and therefore highest cure rates in surgery are achieved. The Mohs surgeon puts great emphasis on the best possible aesthetic result in the reconstruction of the surgical defect.
For these reasons, Mohs Surgery is the international gold standard for white skin cancer of the face and cosmetically relevant regions.
Essential aspects of Mohs Surgery from the process point of view are:
The Mohs process performed by the Mohs surgeon, simplified in four steps:

For a more in depth understanding, the following diagram presents the Mohs process in a generalized form with the basic organizational units:

Due to a special surgical technique of the dermatosurgeon and further Mohs-specific preparation of the removed tissue, all incision margins, in contrast to the other micrographically controlled procedures, are presented on a horizontal plane, which brings advantages in the subsequent diagnosis.




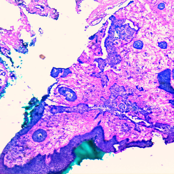
In the frozen section procedure, 100% of the surgical margins of the specimen are examined under a microscope by a dermatosurgeon and, if necessary, additionally confirmed by a pathologist, depending on the legal situation in the respective country. If the tumor has not yet been completely excised, in a next stage little more tissue is removed until all the margins are 100% tumor free.
This step-by-step surgical technique results in the smallest possible surgical defect compared to ordinary skin cancer surgery. Mohs surgery, performed by a dermatologist, is thus superior to other medical specialists and plastic surgeons in terms of the size of the wound defect.

For more information or further questions, please feel free to contact us.